To homepage

How it works

We've transformed the clinic search process, making it simple, fast, and personal.
Answer a few questionsTake a short quiz to share your Invisalign goals.
Get personalized offers3 clinics, handpicked based on your answers, provide tailored treatment plans and quotes.
Choose the best optionCompare offers and choose the clinic that suits you best.
You can also browse all 5 clinics below.
820К+ patients have got assistance since 2014
50 countries
1,500 clinics
6K+ reviews
3K+ qualified doctors

How Much Does Invisalign Cost in Poland?

Invisalign in Poland typically costs from $2,500 to $4,500. The final price depends on case complexity, city, and number of aligner trays. In the US, patients pay around $5,000 on average. Poland provides savings of approximately 30%. Most packages include 3D digital scans, all necessary aligners, and regular follow-up visits.

  • Complexity levels: Mild cases using Invisalign Lite usually cost 30-40% less than comprehensive plans.
  • Single arch: Treating only one row of teeth significantly reduces the total investment required.
  • Major dental hubs: Warsaw and Krakow serve as the primary destinations for international orthodontic patients.
  • Additional services: Retainers and post-treatment stabilization are sometimes billed separately from the main aligner package.

Bookimed Expert Insight: Choosing clinics in Poland offers high-tier quality with significant cost-value advantages. Atelier Uśmiechu in Warsaw holds TÜV NORD DIN EN ISO certifications, ensuring strict quality management. Large-scale facilities like Perfect Dental Care treat 5,000 patients annually and follow international standards. This high volume allows clinics to maintain competitive pricing while using advanced 3D scanning technology. For international patients, these specialized clinics provide the same global Invisalign protocols found in the US.

Key Benefits
  • Get Invisalign treatment in Poland at 40-60% less than in the USA and UK.
  • Options available: Invisalign Full®, Invisalign Lite®, and ClearCorrect®.
  • Free consultation to determine the most suitable clear aligner option for your needs.
  • Warranty available on select offers.
  • Access exclusive offers from top Polish dental clinics .
Data verified by Bookimed as of May 2026, based on patient requests and official quotes from 154 clinics worldwide. Median costs are based on real invoices (2025–2026) and updated monthly. Actual prices may vary.

Discover the Best Invisalign Clinics in Poland: 5 Verified Options and Prices

The Bookimed clinic ranking is based on data science algorithms, providing a trusted, transparent, and objective comparison. It takes into account patient demand, review scores (both positive and negative), the frequency of updates to treatment options and prices, response speed, and clinic certifications.
HALDENT Dental Clinic
RIKOTA Dental Clinic
Perfect Dental Care — Align & Implant Clinic
Atelier Uśmiechu

Invisalign Overview in Poland

Takeaways
Related procedures & Costs
How it works
What to expect
Pros & Cons
Benefits
Payment
patients recommend -
85%
Surgery Time - 2 hours
Stay in the country - 5 days
Rehabilitation - 1 day
Anesthesia - Local anesthesia
Verified patient reviews - 20
Bookimed fees - $0

As the leading global medical tourism platform, Bookimed.com takes a huge responsibility before its clients, including patients and medical centers in Poland. All the information provided on the website is grounded in research, foresight, and expertise and meets high interest related to the product and follows:

Smart automatic ranking system

We form our listings of clinics and doctors in Poland with strict regulations of our smart automatic ranking system. The system is based on real Bookimed patient rates to provide the most objective and transparent information about clinics and medical services there.

Our experienced data scientist collects data daily, monitors and optimizes the ranking system using machine learning and artificial intelligence to ensure that the ranking system is up-to-date and provides accurate results.

Real people"s experience only

We collect the opinions of Bookimed clients only after getting medical experience with the clinic in Poland — so everyone on the platform can trust the facility they choose. We strive to make the content on our platform as useful as possible and ensure the freedom to express critical opinions. Thus, we publish positive and negative reviews, aiming at being a source for informed decision-making for our future clients.

Topics with high levels of expertise, authority, and trustworthiness

On Bookimed.com in Poland, you may find choice and convenience to find the best medical solutions from top medical services providers just in one place, and often at competitive prices. Making sure to deliver the freshest information, the clinic’s representatives update doctors’ CVs, clinics’ capacities, before-after pictures, prices, packages, and specials by themselves shortly. You may meet the clinic’s representative and check the date of updated content at every clinic’s page to make sure of its trustworthiness.

Our blog and supportive pieces are created by professional authors with at least 3-year experience in medical writing and edited by medical specialists with relevant clinical and research expertise — all carefully recruited to the team. We strive to enhance patient access to health information, making it expert but easy to understand. All pieces follow the Bookimed’s Editorial Guidelines.

Bookimed values

We are made of people and for people — and that"s our core value. That"s why all the data presented on the platform is collected, edited, reviewed, and updated regularly by our patients, our partner clinics in Poland, and our team, including the Bookimed Medical Advisory Board, which consists of the world-renowned doctors with value expertise over 20 years of practice, and a positive reputation. Learn more about us and our mission.

In case you find any mistake or have any questions on the information presented on Bookimed.com in Poland, please feel free to contact us at marketing@bookimed.com.

Our Doctors

View all Doctors
verified

Mateusz Chojnicki

15 years of experience

Dr. Chojnicki specializes in advanced dental restorations and Invisalign treatments, with training in innovative techniques from leading experts.

  • Certified by the International Team for Implantology
  • Completed specialized training in veneers, crowns, and bridges
  • Expert in dental bone and tissue regeneration
  • Attended the Central European Academy of Implantology symposium
  • Trained in modern endodontic techniques
verified

Magda Chylinska

17 years of experience

Dr. Magda specializes in aesthetic dentistry and prosthetics, with training from the Medical University of Vienna and a focus on holistic, biological approaches.

  • Trained in occlusal rehabilitation according to Prof. R. Slavicek
  • Completed education in Great Britain and Switzerland
  • Specializes in aesthetic dentistry and prosthetics
  • Focuses on holistic medicine and natural therapies

Video Stories from Bookimed Patients

Igor
It was great! Transfers, accommodation, treatment—all included.
Procedure: Dental Implant
David
Who knew getting your teeth fixed could be a mini vacation?
Procedure: Installation of a dental implant with crown
Pavel
I recommend Bookimed's services to everyone - they made my life much easier.
Procedure: Zirconia crown installation

Reviews about Bookimed: Discover Patients' Insights

All reviews
Olga • Clear aligners
Ukraine
Feb 24, 2025
Verified review.
And thank you for the friendly atmosphere and support😊
Thank you very much for everything: for giving us the opportunity to agree on a meeting remotely, for finding time for us despite being late. And thank you for the friendly atmosphere and support😊
About Bookimed service
Thank you for organizing the first remote consultation, it was important for us as we were traveling from another country to the appointment
Craig Watson • All-on-4 Dental Implants
United Kingdom
Jun 8, 2025
Verified review.
I am glad that I chose Haldent to get mine
Lets admit it, thinking about getting dental work done is always daunting, especially when you are considering getting implants, and then even more so implants in a different country but what I can say is that I am glad that I chose Haldent to get mine. As easy as it is to be mesmerised by the beautiful buildings, HiTech equipment and peering into the Dental Lab everytime you walk by it, you realise very quickly that they all being used by very skilled individuals, and they are very good at what they do. Dr Hubert Trzepatowski hasn’t just build a dental surgery hes built a family and when you are there you feel very much apart of it. From being picked up for your day off surgery, to being dropped off you are in the best of hands, and if that doesn’t put you at ease the massage before will, mines almost put me to sleep. After having come home now and reflecting back I would like to extend thanks to everyone that was involved, long hours and late nights were put in and I cannot explain how thankful I am for all the time that was put in and all the extra effort that was gone to. So to Medhat, Bartosz, Karolina, Paweł and Karolina thanks to you and Dr Hubert Trzepatowski and the entirety of your team I now have the smile that I have always wanted all thanks to you.
Лидия • Full dentures installation
Ukraine
Jan 23, 2023
Verified review.
"All the doctors who worked with my problem are just wonderful, with attention and kind attitude
I want to say thank you to all the employees of the clinic represented by doctor Vladimir (sorry, I didn’t indicate my last name, but you can see the photo in Viber), who was a guide in my situation, for participating in my situation. With a sincere desire, he told me what the clinic staff could provide, indicated the address of the clinic, the organization where to find an interpreter, worried if I could attend all the appointments with the doctors, specified the appointment time. All the doctors who worked with my problem are just wonderful, with attention and kind attitude. The operation on the gums with teeth was carried out painlessly, with excellent anesthesia. I was not in the ward, my relatives brought me with an interpreter and took me away. Many thanks to all of you, and if you have a problem with your teeth, you MUST visit this clinic and your problem will be solved
Вера • Consultation with a dentist
Italy
Feb 14, 2023
Verified review.
The doctors who cleaned and restored the teeth are the best
The staff is very kind, the administrator is very very good, the doctors who cleaned and restored the teeth are the best, but after the tooth extraction, the surgeon gave me an infection and now I need to be treated with antibiotics for 2 weeks, so the surgery is bad, I do not recommend it.
About Bookimed service
Very satisfied
Irina • Dental Crown Installation
Poland
Dec 11, 2023
Verified review.
I highly recommend it, you will always be greeted here with a smile!
Wonderful service staff, they pay attention and care to each patient, they will help you create a convenient schedule for visits, they will give you the right advice and carry out painless treatment, great attention is paid to the cleanliness and hygiene in the office and the service staff themselves. I highly recommend it, you will always be greeted here with a smile! !! And they will give you the same smile here!!!
Attention and individual approach
Anonymous • Consultation with a dentist
Poland
Oct 7, 2023
Verified review.
I am from Ukraine, and I really liked everything, both the service and the doctor I see. Everyone is very polite to me, although I don’t know Polish very well, everyone treated me very well and explained everything clearly and prescribed treatment!! Many thanks to all the medical staff!!! And also to the manager who was in touch with me and accompanied me on all my questions!!!!
Марина • Consultation with a dentist
Ukraine
Oct 5, 2023
Verified review.
Thank you all very much for your professionalism!!!
Good afternoon I really liked the clinic. The doctors are very attentive and responsive. We needed to quickly treat a lot of teeth, and the clinic’s doctors responded and helped us meet the deadline. Thank you all very much for your professionalism!!!
About Bookimed service
Special thanks to Bookmed manager Stanislav, who helped organize our treatment at the clinic. All problems, including those related to language, were resolved.
Mark Müller • All-on-4 Dental Implants
Germany
Apr 14, 2025
Verified review.
I feel like a new person
I can only say very good things. Whether it was about appointments or the very friendly staff. Everyone took a lot of time for me. Yes, and above all the good qualified doctors that you don't find in Germany. Everything was just right. The clinic itself is a dream and looks really inviting. Top The result is absolutely beautiful. No problems I feel like a new person Thank you for everything I would be happy to come back at any time.
My new teeth on top
Sorry but I didn't have anything negative
About Bookimed service
Bookimed responded quickly was friendly and listened and recommended the best clinic for me
Оксана • Tooth restoration (bonding)
Ukraine
May 28, 2022
Verified review.
"Doctor Mykhalchuk and his assistant did an excellent job!"
I went to the clinic about the restoration of the tooth. The staff kindly accepted. Everything went at the highest level, painlessly, in a pleasant atmosphere that allows you to relax. Doctor Mykhalchuk and his assistant did an excellent job! Thanks a lot! Prosperity to your clinic! Ps. At the end of the appointment, the doctor, not intrusively, gave the necessary recommendations for further treatment ....
About Bookimed service
Yes
Елизавета • Consultation with a dentist
United Kingdom
Nov 27, 2022
Verified review.
Will definitely be back for further treatment
Many thanks to the doctor and the surgeon and the staff of the Smile Dentika clinic in Krakow, everything was professional, clear, and prompt. Many thanks for your care and concern! Will definitely be back for further treatment.
About Bookimed service
Thank you very much for your help!
Anonymous • Teeth Cleaning (Scaling)
Kazakhstan
Oct 5, 2024
Verified review.
Really liked the service
Really liked the service. Received me at a time that was convenient for me. They work quickly and with high quality. Thank you very much to the coordinators and all the staff at the clinic.
Светлана • Dental Implant
Germany
Feb 3, 2023
Verified review.
I am grateful to the Bookimed platform for cooperation
I did a 3D x-ray and received a full consultation at the appointed time and in the language I needed. I am grateful to the Bookimed platform for cooperation.
About Bookimed service
All my questions were answered in a timely manner
Andrii
United Kingdom
Nov 18, 2024
Verified review.
I liked this dentist
I liked this dentist. If there are any issues in the future, I will definitely come here again.
I received all the services I needed. The staff are doing their best.
Nothing to say. I liked everything.
Katerina • Consultation with a dentist
United Kingdom
Jul 15, 2023
Verified review.
I liked the clinic
I liked the clinic, but the doctor promised to write a treatment plan, but they didn’t send it to us, this is the only minus
Anonymous • Teeth Cleaning (Scaling)
Ukraine
Nov 30, 2024
Verified review.
Everything went very quickly and painlessly 😊
I signed up for dental hygiene) Everything went very quickly and painlessly 😊

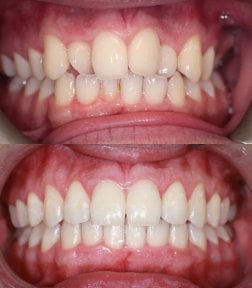
Invisalign: Before & after photos

View all

Related Articles

Share this content

Updated: 06/08/2025
Authored by
Anna Leonova
Anna Leonova
Head of Content Marketing Team
A certified medical writer with 10+ years of experience, developed Bookimed’s trusted content, backed by a Master’s in Philology and medical expert interviews worldwide.
Fahad Mawlood
Medical Editor & Data Scientist
General practitioner. Winner of 4 scientific awards. Served in Western Asia. Former Team Leader of a medical team supporting Arabic-speaking patients. Now responsible for data processing and medical content accuracy.
Fahad Mawlood Linkedin
This page may feature information relating to various medical conditions, treatments, and healthcare services available in different countries. Please be advised that the content is provided for informational purposes only and should not be construed as medical advice or guidance. Please consult with your doctor or a qualified medical professional before starting or changing medical treatment.

FAQ about Invisalign in Poland

These FAQs come from real patients seeking medical assistance through Bookimed. Answers are given by experienced medical coordinators and trusted clinic representatives.

Is Invisalign treatment in Poland safe?

Invisalign treatment in Poland is highly safe, adhering to strict European Union medical regulations and standardized manufacturing protocols. Polish clinics utilize iTero 3D scanning technology and identical Align Technology materials used in the US, ensuring treatment quality and physical product safety match international standards.

  • Provider certification: Polish orthodontists must complete manufacturer-specific certification to offer Invisalign aligners professionally.
  • Clinical standards: Clinics like Atelier Uśmiechu maintain TÜV NORD DIN EN ISO quality management certifications.
  • Advanced diagnostics: Top centers utilize panoramic X-rays and digital planning for precise tooth movement.
  • Expert volume: Major facilities like RIKOTA Dental Clinic manage up to 60,000 patients annually.

Bookimed Expert Insight: Quality often correlates with specialization and scale in Poland. Clinics like RIKOTA employ teams of 60 specialists, while HALDENT focuses specifically on clear aligners. Choosing these high-volume centers ensures access to practitioners who manage complex cases daily, potentially reducing the need for unplanned refinements common in smaller practices.

Patient Consensus: Patients frequently praise Polish clinical hygiene for exceeding Western standards. Many recommend verifying a provider’s Diamond-level status and budgeting for 2–3 in-person visits to ensure perfect alignment.

What qualifications do Polish Invisalign providers have?

Invisalign providers in Poland must be licensed dental professionals registered as dentists or orthodontists. They are required to hold a medical degree from an accredited university and obtain official certification from Align Technology to perform clear aligner treatments and use proprietary clinical software.

  • Professional registration: Providers must be registered as a Dentist (Stomatolog) or specialized Orthodontist (Ortodonta).
  • Mandatory certification: Doctors complete the official Invisalign training pathway covering digital treatment planning workflows.
  • Advanced credentials: Clinics like Impladent Medical and Dental Clinic employ specialists with MD and PhD degrees.
  • Experience tiers: Experience is measured by Diamond, Platinum, or Gold tiers based on annual volume.

Bookimed Expert Insight: Focus on clinics with high-volume surgical teams rather than solo practices for faster results. Clinics like RIKOTA Dental Clinic serve 60,000 patients annually with 60 specialists. This volume often correlates with higher tier rankings like Diamond Plus, ensuring the doctor handles complex dental alignments frequently.

Patient Consensus: Patients value providers who use digital scanners for immediate visual results. Many express relief that Polish specialists offer the same official Invisalign tiers found in the United States.

How long does Invisalign treatment take in Poland?

Invisalign treatment in Poland usually takes 12 to 18 months for most patients. The timeline depends on complexity, ranging from 3 to 9 months for minor gaps to over 24 months for severe crowding or major bite corrections at clinics in Warsaw, Krakow, and Gdansk.

  • Treatment timeline: Standard cases take 12 to 18 months using clear aligner orthodontics.
  • Minor corrections: Simple gaps or mild crowding often conclude within 3 to 9 months.
  • Check-up frequency: Patients typically attend biweekly or monthly check-ins to monitor progress.
  • Daily compliance: Wearing aligners for 22 hours daily is required to meet the timeline.

Bookimed Expert Insight: Clinics like RIKOTA Dental Clinic in Warsaw serve 60,000 patients annually and often employ aggressive tray-change protocols. While standard treatment averages 15 months, these high-volume facilities can sometimes reduce mild case timelines to 10 months through precise digital planning. Always confirm if your clinic uses the latest ClinCheck software to visualize your exact results before starting.

Patient Consensus: Many patients appreciate that Polish clinics often include several refinement sets for free. This ensures a perfect finish without extending the treatment duration through unexpected additional costs or planning delays.

Am I a good candidate for Invisalign?

You are an ideal candidate for Invisalign if you have mild-to-moderate alignment issues and the discipline for 22-hour daily wear. Suitable patients must have healthy gums, fully developed permanent teeth, and no severe skeletal jaw discrepancies or complex tooth rotations requires fixed appliances.

  • Alignment severity: Best for correcting gaps, crowding, and mild overbites or underbites.
  • Daily commitment: Must wear removable trays 20–22 hours daily for successful tooth movement.
  • Oral health: Requires healthy gum tissue and zero active cavities before starting therapy.
  • Dental maturity: Primarily for adults and teenagers with all permanent teeth fully erupted.

Bookimed Expert Insight: While Invisalign is often marketed as a fixed-cost solution, refinement rounds are common. In Poland, clinics like Atelier Uśmiechu maintain ISO 9001 quality standards, but patients should confirm if the 2–4 typical refinement sets are included in the initial price. This is vital since lost aligners in international clinics can cost $50–$150 each to replace.

Patient Consensus: Many patients mention that tooth-colored attachments are more visible than expected. Success depends heavily on compliance, as failing to wear trays as directed often leads to extended treatment times or additional costs.

What does a typical Invisalign package include?

A typical Invisalign package in Poland includes 3D iTero digital scans, a custom series of SmartTrack aligners, and regular progress monitoring. Most comprehensive plans cover refinement trays and a final set of Vivera retainers to ensure long-term dental alignment.

  • Digital diagnostics: High-tech 3D iTero scans create precise digital impressions without messy molds.
  • Custom aligners: Patients receive a sequential series of clear, removable medical-grade plastic trays.
  • Progress visits: Orthodontists conduct clinical check-ups every 6 to 8 weeks to monitor movement.
  • Refinement rounds: Extra aligner sets are typically included to fine-tune final tooth positions.

Bookimed Expert Insight: High-volume clinics like RIKOTA Dental Clinic serve over 60,000 patients annually. This massive scale allows Polish centers to offer premium Invisalign Comprehensive packages for $2,500 to $4,500. This is roughly 30% less than the $5,000 US average. Many Polish clinics now integrate remote app tracking to reduce the number of required in-person visits.

Patient Consensus: Patients frequently highlight the convenience of digital scanning over traditional impressions. Most appreciate receiving several months of aligners at once, making the process smoother for those traveling from abroad.

How many visits are required if I travel to Poland for Invisalign?

International patients typically require 2 to 5 visits to Poland for Invisalign treatment. Simple cases may conclude in just 2 trips if clear aligners are mailed home. Complex cases involve more frequent physical check-ups, digital refinement scans, and attachment adjustments during the 12–24 month process.

  • Initial consultation: Complete 3D digital scans and X-rays in cities like Krakow or Warsaw.
  • Aligner fitting: Return after 2 weeks for attachment placement and first tray delivery.
  • Remote monitoring: Use photo or video updates to reduce in-person check-ups significantly.
  • Refinement scans: About 30–50% of patients require extra visits for new corrective scans.

Bookimed Expert Insight: High-volume clinics like RIKOTA Dental Clinic, with 60 specialists, often utilize advanced digital workflows that minimize chair time. Patients can save up to 30% compared to US costs by choosing centers that bundle remote monitoring software. This tech often eliminates 2 intermediate trips entirely.

Patient Consensus: Plan for 5-6 visits minimum to ensure perfect results and budget for potential refinement costs. Most patients recommend tracking wear compliance religiously to avoid unplanned trips for fit issues.

Which Polish cities offer the most experienced Invisalign clinics?

Warsaw, Krakow, and Bialystok offer the highest concentration of experienced Invisalign clinics in Poland, hosting elite Diamond Apex providers. These specialists rank in the top 1% globally. Warsaw leads with high-volume centers like RIKOTA Dental Clinic, while Krakow and Slubice offer clinics with over 1,100 successful treatments.

  • Warsaw expertise: RIKOTA Dental Clinic serves 60,000 patients annually with 60 specialized dental experts.
  • Krakow specialists: HALDENT Dental Clinic features surgeons with over 1,100 completed Invisalign cases.
  • Slubice hub: Perfect Dental Care focuses exclusively on aligners, performing 1,100 procedures over 15 years.
  • Quality standards: Top Polish clinics utilize iTero scanners for digital impressions and 3D planning.

Bookimed Expert Insight: High-volume clinics in Poland often provide better long-term value than smaller practices. RIKOTA Dental Clinic serves 60,000 patients yearly, which suggests massive procedural experience. Some centers like Atelier Uśmiechu also hold TÜV NORD ISO certifications, ensuring rigorous quality management as standard.

Patient Consensus: Patients recommend Warsaw for complex bite cases due to the high density of super-providers. While Kraków is popular, verify treatment plans carefully to ensure they match your specific orthodontic needs.

Get a free consultation

Select the best way to contact you