
Pawak Tungthangthum



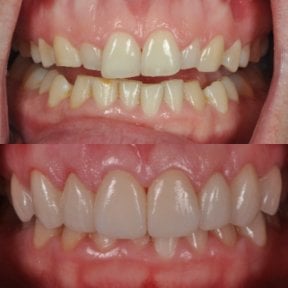
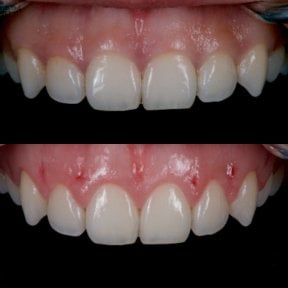
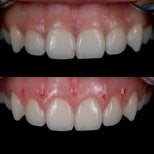
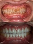
Dr. Pawak Tungthangthum brings over 17 years of experience of dental expertise, trained in the USA and Thailand, with a focus on advanced implantology and esthetic restorative dentistry.
- Head of Dental Department at Bangkok Chiang Mai Hospital
- Specialized training at Los Angeles School of Dentistry and Chulalongkorn University
- Member of The American Dental Association and The International Congress of Oral Implantologists
- Extensive experience in dental implants and prosthodontics
- Certified Invisalign Provider
Package price from
$24.81










































