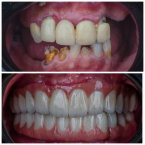
- Technique: All-on-6 same day immediate implants with immediate denture for one jaw.
- Mohamed Omara has handled advanced orthodontic surgeries involving jaw correction and complex skeletal issues.
- Omara Dental Centers provides comprehensive care for local and international patients, particularly from Europe, Arab League States, USA, Canada, and Australia.
- Included Services: Cone beam computed tomography 3D (CBCT), intraoral imaging, digital smile design, consultation with a dentist, teeth scaling and polishing, dental implant(s), 3D dental scan, apartment, transfer airport-hotel-clinic-airport.
- Stay Info: 2 days stay in the hospital and 2 days stay in the hotel, both included in the price.








