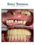
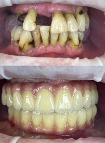
Dr. Juhász Kornélia has performed 1,000+ successful implant procedures over 11 years, specializing in All-on-4 restorations. The clinic uses Alpha Bio implants with zirconium crowns, typically costing around 5,390 EUR per arch – covering consultation, 4 implants, temporary and final restorations, plus transfers. Their in-house lab ensures precise fitting during the 8-10 day treatment program split over two visits. Dr. Juhász trained at Semmelweis University and leads the clinic's international dental tourism program.















