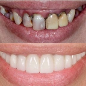
This package delivers a full-arch smile in just 24-72 hours with a temporary PMMA bridge, followed by a final zirconia restoration four months later. Dr. Juhász Kornélia, with 1,000+ implants placed, performs the technique at Smile Terminal Dental Care. It costs around $6,379 and includes four Alpha-Bio implants, digital CT planning, all transfers, and both bridges. Treatment requires two visits with a 4-month healing period for osseointegration — the clinic handles the logistics for its 1,700 annual international patients.


























