- With over 16,000 annual patients, the clinic exhibits extensive experience in dental care and implant procedures.
- An international patient clientele underscores the clinic's global trustworthiness and expertise in dental services.
- The dental team's education from prestigious institutions ensures high-quality implant treatments for patients.
- Dr. Yu Ho Doh brings a rich background in Neuroscience and Dentistry from top universities to dental implantology.
- Located near Incheon International Airport, the clinic offers convenience for international dental tourists.
What are Korean dental implants?
Dental implants are artificial roots placed into the jaw to replace missing teeth. A crown or bridge is added on top to restore chewing function and appearance.
In South Korea, dental implants are:
- Made from biocompatible titanium or zirconia, which fuse safely with bone and reduce the risk of rejection or inflammation.
- Produced by top global manufacturers like Osstem and Dentium.
- Placed using advanced digital technology like 3D-guided surgery.
Most importantly, Korean implants are built to last—studies show that around 97% remain fully functional 10 years later.
Who is the best candidate for dental implant treatment?
The ideal candidate for dental implant surgery is someone who:
✔ Has one or more missing teeth.
✔ Has enough jawbone to support an implant (or is eligible for bone grafting or sinus lifting).
✔ Maintains good oral hygiene and healthy gums.
✔ Is in good health, with no uncontrolled conditions like severe diabetes or active cancer.
✔ Does not smoke or is willing to quit during healing.
Why get dental implants in Korea?
1. Affordable dental implant costs
The cost of dental implants in Korea is around $1,000–$2,000, compared to $2,000–$6,000 in Western countries. Even with travel expenses, total costs are often 50%–70% lower.
2. Global expertise in dental implants
South Korea is the second-largest exporter of dental implants in the world. It is home to Dentium, Megagen, and Osstem — implant systems used in over 70 countries.
3. One of the best dental care systems worldwide
According to a study in the Journal of Dental Health, Oral Disorders & Therapy, South Korea has the 2nd-best dental care system in the world. It’s more effective than in the US, UK, Canada, or Australia.
4. Advanced technology
Korean dental clinics routinely use 3D CBCT scans, digital impressions, and computer-guided implant placement. These tools make treatment safer, faster, and more accurate.
5. Experienced, skilled dentists
Each year, dentists in South Korea perform over 1.8 million dental implant procedures. Implantologists working with Bookimed are trained internationally at institutions like Johns Hopkins University and teach at top Korean schools like Yonsei University College of Dentistry—one of Asia’s most prestigious dental institutions.
6. Short wait times
Unlike in the US, Australia, or the UK, where patients often wait up to 18 weeks, Korean dental clinics can schedule implant surgery within days.
7. Smooth experience for international patients
Clinics are well-prepared for dental tourism. They offer English-speaking staff, clear treatment plans, and logistical help with airport transfers and accommodations. The process is fast, efficient, and designed to fit into a short trip.
What types of dental implants are available in Korea?
1. Endosteal implants
This is the most traditional implant type. These are placed directly into the jawbone and are ideal for patients with healthy bone volume.
2. Subperiosteal implants
Used when the jawbone isn’t strong enough, and the patient cannot undergo bone grafting. These sit on top of the bone, under the gum.
3. Zygomatic implants
In cases of severe bone loss in the upper jaw, zygomatic implants anchor into the cheekbone (zygoma) instead of the jawbone.
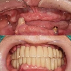
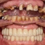
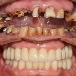
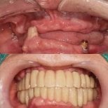
4. Full-mouth dental implants (All-on-4 / All-on-6)
For patients who’ve lost most or all of their natural teeth, Korean clinics offer full-arch restorations. These involve placing 4 or 6 implants to support a fixed arch of prosthetic teeth. It’s a stable, long-term alternative to removable dentures.
5. Mini implants
These are smaller in diameter (under 3 mm) and can often be placed in a single visit without cutting the gum. Mini implants are ideal for stabilizing dentures in patients with limited bone. However, they’re less durable and not recommended for replacing molars or full arches.
What are the best clinics for dental implants in South Korea?
According to Bookimed’s ranking, here are the top Korean clinics for dental implants based on certifications, doctor training, patient satisfaction, and use of advanced technology:
| Clinic | Location | What stands out | Estimated cost |
| Yonsei Uline Dental Clinic | Seoul | Yonsei Uline Dental Clinic is KOIHA-certified. Doctors are trained at Yonsei, NYU & University of the Pacific. | ~$13,200 for full-mouth dental implants |
| S-Plant Dental Hospital | Seoul (Gangnam) | Seoul National University grads, 3D-CT, in-house lab, aromatherapy & stress-free recovery programs. | ~$1,800 per single Korean implant |
| DIER Dental Clinic | Daejeon | Local anesthesia with an anesthesiologist. 15,000+ patients treated in 18 years. | ~$10,000 for full-mouth dental implants |
| Seoul Today Dental Clinic | Goyang (near Seoul) | US- and SNU-trained doctors. 16,000+ patients/year. 30–40 minutes from Incheon International Airport. | $1,500–$1,800 single / $9,000–$10,500 full arch |
| Gangnam Gentle Dental | Seoul (Gangnam) | Aesthetic focus and 3D tech. Led by Dr. Sungho Kim, a judge at the Miss Korea Global pageant. | $1,000–$2,000 per Korean implant |
How does the dental implant procedure work in Korea?
The dental implant treatment usually takes two visits over 3–6 months, with a healing period in between.
➡️ Visit 1 (2–3 days)
After an initial consultation and 3D scan, the dentist plants an implant into the jawbone. If needed, specialists perform bone grafting or sinus lifting at this stage.
➡️ Healing period (3–6 months)
The implant bonds with the bone in a process called osseointegration. Wearing a temporary denture or crown during this stage helps patients eat and speak comfortably while waiting for the final teeth.
➡️ Visit 2 (3–5 days)
The abutment (a connector) is attached to the implant, followed by the crown or a fixed bridge. The fit and bite are adjusted before completing dental treatment.
What is the recovery and aftercare process like?
Patients recover quickly after Korean implant surgery. Mild swelling, bruising, or discomfort are typical for the first 2–5 days and are managed with painkillers and a soft diet.
Good oral hygiene is essential:
- brush gently with a soft-bristled toothbrush;
- use antibacterial mouthwash if prescribed;
- attend follow-up checkups.
Regular dental visits and cleanings prevent complications like implant failure or gum inflammation.
How can I choose the best clinic and dentist in Korea?
- Check credentials. Look for clinics certified by KOIHA and dentists trained at top schools like Yonsei or Seoul National University.
- Ask about experience. Choose dentists who perform implants regularly. Ask how many procedures they do each year.
- Look for modern tech. A good clinic should use 3D CBCT scans, digital impressions, and guided implant placement.
- Verify implant brands. Ask if they use the best Korean dental implants, like Osstem and Dentium, or international options like Straumann.
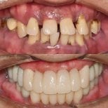
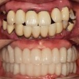
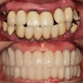
- Check reviews and patient photos. Look for real before-and-after cases and feedback from international patients.
- Confirm medical tourism support. Make sure the clinic offers English-speaking medical staff and clear dental treatment plans if you're coming from abroad.
What should I expect when traveling to Korea for dental implant surgery?
| Category | Details |
| Visa | Most Western tourists get visa-free entry for 90 days |
| Flight | From US: $600–$800 round trip, ~13–14 hours. From Europe: €500–€600, ~11–12 hours. |
| Accommodation | Budget: $50–100/night. Mid-range: $100–200/night. |
| Daily expenses | Meals: ~$40/day. Public transport: ~$4–10/day. |
| Payment methods | Dental clinics accept KRW, Visa/Mastercard, bank transfers, and cheques. Processing fees may apply (1–4%). |
| Safety | South Korea ranks among the 20 safest countries globally. Dial 119 for emergencies. |
💚 Most dental clinics offer discounted rates for nearby hotels and airport transfers for an additional fee.
What are alternatives to dental implants?
If, based on a dental exam, implants aren’t suitable, patients can consider the following options:
- Dental bridges — use adjacent teeth to support one or more false teeth);
- Removable dentures — replace several or all missing teeth and can be taken out for cleaning.
Resources
- Maxillofacial Plastic and Reconstructive Surgery. (2023). A 10-year survival rate of tapered self-tapping bone-level implants from medically compromised Korean patients at a maxillofacial surgical unit.
- Mayo Clinic. (2024). Dental implant surgery.
- The Korea Times. (2024). Exports of dental implants hit all-time high: data.
- Journal of Dental Health, Oral Disorders & Therapy. (2024). Comparison of the oral health status and costs of the provision of dental care in ten high-income countries.

































